 |
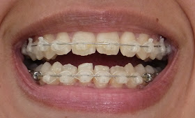
| Progress Picture from Week 17 |
Progress photo, taken 21st August 2013 (just over four months since I've had my braces put on - time flies so fast!). In this picture you can clearly see the other wires that I have top and bottom that thread around the brackets. You may also just be able to make out the small elastic power chains I have between my top two front teeth.
No comments:
Post a Comment